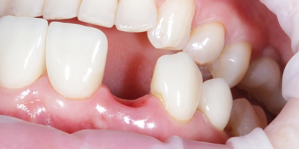
歯を失ってそのまま放置すると、周囲の歯が移動してしまいます。失った歯の両隣の歯は、空いたスペースに向かって傾き、噛み合っていた反対側の歯は、噛む相手を失って伸びてきます。このような歯の移動によって、全体の噛み合わせのバランスが崩れます。
また、虫歯治療で詰め物や被せ物を入れた際、その高さが適切でないと、噛み合わせに問題が生じます。わずか数十ミクロン(髪の毛1本程度)の高さの違いでも、違和感や痛みを引き起こすことがあります。治療直後は気にならなくても、時間が経つと顎の位置がずれて、様々な症状が現れることもあります。

WEB予約


